インプラントの症例集
当院で治療された方々の症例を
各科目ごとにご紹介します。

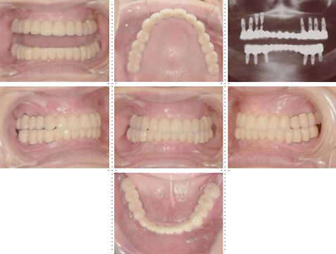
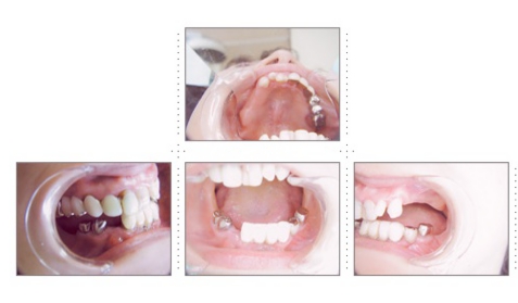
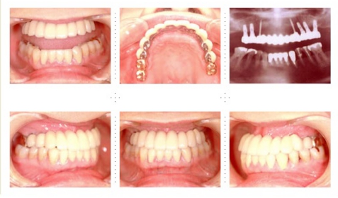
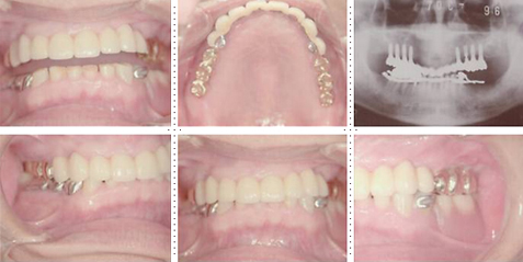
症例1
58才 女性
嘔吐反応が激しく入れ歯を入れると気持ち悪くなってしまうと、インプラント希望で来院されました。
上顎左右奥に4本ずつ計8本のインプラント埋入。下顎左右奥に3本ずつ計6本のインプラント埋入上下顎とも全体的にセラミックを使用した冠をセット。





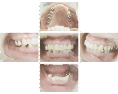
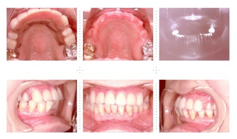
症例2
62才 女性
上顎は総義歯、下顎はブリッジと局部床義歯が装着。義歯は違和感があり、食事も不便を感じ、審美的にも人前にでるのが苦痛に感じていました。この状態を打破するためにも、「インプラント治療に自分の人生を賭けてみたい」という覚悟で来院されました。インプラント手術に対する恐怖心も強くお持ちでした。このような骨幅が狭いケースでは、X線撮影と共にCT撮影による画像診断とインプラント埋入シミュレーションが重要です。
下顎は両側犬歯を残し、他は抜歯。インプラント7本埋入。 上顎はインプラント8本埋入。 インプラント手術を受けられる患者さんは、前の晩眠れない程の不安感、恐怖心を持って来院されます。実際には麻酔注射は痛みを感じず、インプラント手術も痛みも無く、短時間(1本平均3分)で終わるという、当院独自のテクニックにより、2回目からのインプラント手術は気楽になるようです。 前歯は仮歯の段階で患者さん、歯科医、技工士の三者で、審美性・機能性の面から10回以上形態修正を繰り返し検討した後、上・下顎共に前歯・小臼歯はセラミック(MB)クラウン、大臼歯はゴールドクラウンを装着。ご本人とご家族の方にも、「アンチエイジングには、審美インプラント治療が一番効果あり」と大変喜んで頂きました。





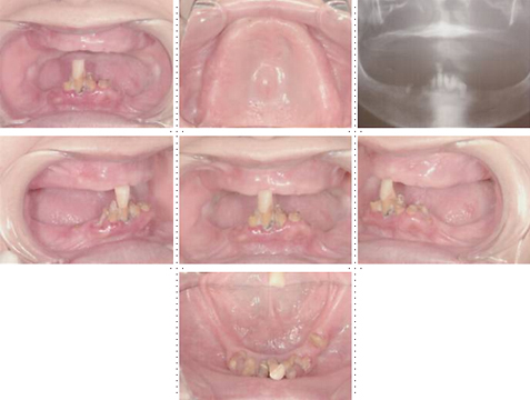
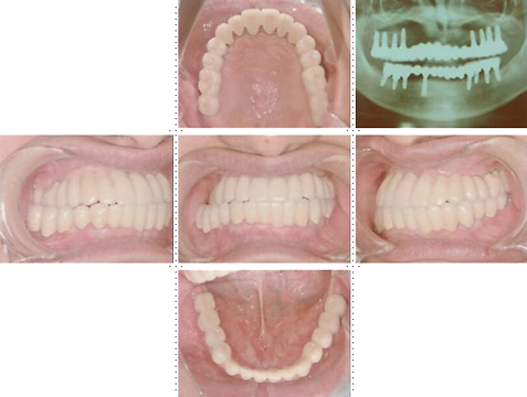
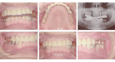
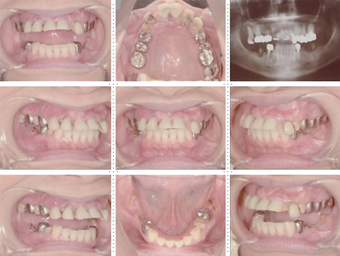
症例3
73才 男性
上顎2本、下顎1本だけ歯が残り、入れ歯を使っておりますが、痛みがありよく噛めない状態。
上顎1本の歯だけを残し、インプラント8本埋入。下顎は歯を抜き、インプラント7本埋入。上下顎とも、セラミック(MB)クラウンをセット。仕事・生活ともに活力が出て、新しい人生が始まったようであると喜んでいただきました。





症例4
57才 女性
知人の歯科医からのご紹介。良く噛めない為、元気が出ない。介護の仕事を続けるためにも、歯を治療して自分がもっと元気になりたい。最初は部分的に治療する予定だったのですが、歯のない部分はインプラントを埋入し、最終的には上下顎全ての歯を治療し、しっかりものが噛めるようになりました。





症例5
62才 女性
老舗の有名蕎麦屋さんの店主の方で、長年歯では苦労されておりました。口腔内写真は術中です。初めて来院されたときには、日常生活にも不便な状態でしたので、術前の口腔内写真を撮るより先に、治療を始めました。下顎は両側犬歯を残し、他は抜歯。インプラント7本埋入。 遠方からの方なので、集中治療を行いインプラント14本埋入し、上下顎共に、セラミック(MB)クラウンにしました。「歯は女優さん並になりました。」 と大変喜んで頂きました。





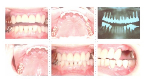
症例6
54才 男性
最近はインターネットの情報から来院される方が増えています。インプラント治療に関する知識も豊富で日本中の主だったインプラント歯科医院のホームページをチェックしている方もおります。この方もホームページをご覧になり来院されました。ご自分と同じような症例があり、しかも手術が短時間で痛みが無いのが選択理由だったようです。顎骨の質・量ともに十分でインプラント埋入は簡単です。CT撮影後、インプラント埋入シュミレーションソフトを使用すれば埋入はそれ程難しくはありません。ただ上顎の骨吸収がかなりあり歯の配列がとても難しいケースでした。





症例7
69才 女性
上顎骨がかなり減っていて、骨質・骨量共にインプラント治療には難しいケースです。
CT撮影後、埋入シュミレーションソフトで十分に検討します。このようなケースを成功させるには、患者さんの理解と協力が必要です。 下顎前歯が前突している為、抜髄しポーセレン冠で内側に配列。上顎前歯部・小臼歯部付近は骨幅が狭く、苦肉の策としてミニインプラントを使用。インプラントアバットメントの平行性、前歯の配列を考えると一般的には床を付けたインプラント義歯となります。装着感、審美性を考慮してブリッジにこだわりました。





症例8
62才 男性
このようなケースは、残存歯を残すのか抜歯かの決断に迫られます。もし私の口腔内がこのケースだった場合、どの治療法を選択するのかをお話します。10年後、15年後を考慮し残存歯は全て抜歯し、上下顎共に8本ずつインプラントを埋入することにしました。
顎骨の質・量ともに十分でインプラント埋入は簡単です。ブリッジを製作する時の咬み合わせが一番問題となり、仮歯の段階で十分に咬合を安定させ、ブリッジ製作には技工士との連携が必要となります。今までこの様なインプラントのフルブリッジをセット後、インプラントが抜けた事は1度もありませ ん。





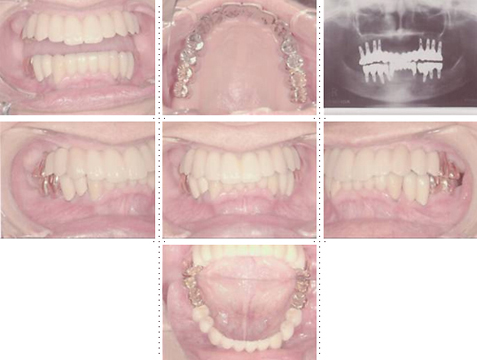
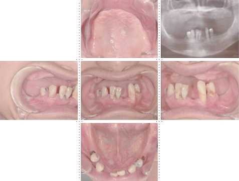
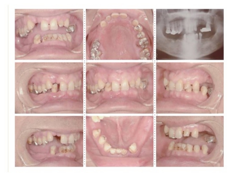
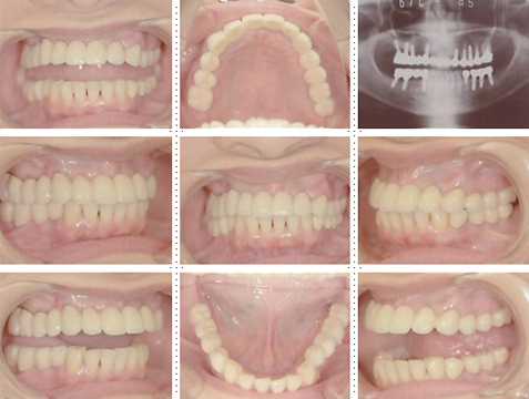
症例9
62才 男性
当院にてインプラント治療をされた患者さんからの紹介です。 一見すると残っている歯は多そうですが、実際はかなり歯周病が進行しており上下で15本の歯を抜かなければならない状態でした。 歯科治療における不安の1つとして、治療中に歯が無くては困るという相談をよく受けます。確かに噛めないのは不自由ですし、前歯であれば仕事など日常生活に大きな支障となります。しかし当院では抜歯した当日に義歯を装着できるシステムをとっており噛めない、見た目が気になるといった心配は全くありません。
このケースは局部床義歯の維持の為、犬歯を残し、抜歯後にすぐに入れられる義歯を使いながら、骨のあるところから適宜インプラントを埋入することで治療期間も負担も少なくてすみます。 インプラントは上顎8本、下顎8本を埋入しました。左下の奥は骨のしっかりしたところに傾斜埋入しました。 このような全顎ブリッジケースの咬み合わせは非常に難しいのですが、TEK(仮歯)を使った咬合採得方法にしてからはほぼ無調整でセットできるようになりました。 この咬合採得テクニックはインプラントセミナーで紹介し好評でした。





症例10
64才 男性
地元の有名寿司屋さんの店主の方(インプラント患者さん)からの御紹介です。
上顎の義歯をインプラントに変えたいとの希望で来院されました。
このケースはまずはじめに局部床義歯を作り直します。インプラント部と義歯床が接触するのを避ける為、部分的に床を削れるようにクラスプ、補強線の位置を決定します。顎骨の質・量ともに十分で、インプラント埋入は簡単です。右側4本のインプラント埋入は8分で終わりました。3ヶ月後には残存歯全て抜歯し、フルブリッジタイプの仮歯をセット。仮歯の段階で十分に咬合のチェックをし、3~4ヶ月抜歯窩の治癒を待ち最終的にフルブリッジへと移行します。





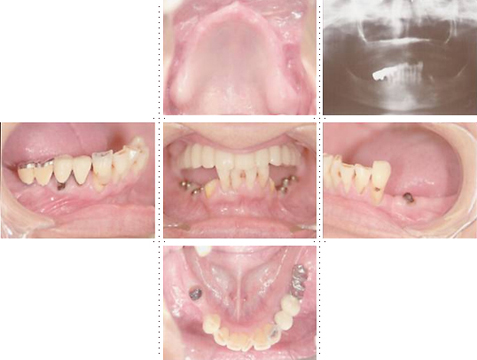
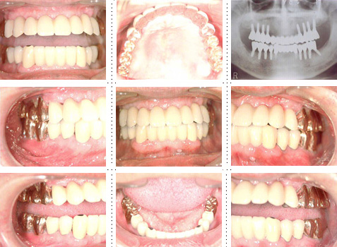
症例11
57才 女性
5年前に上顎に5本インプラントを埋入し、金属の冠をセットしました。インプラント部は快適に使用していたのですが、上顎の他の部位と下顎臼歯部のインプラントの治療を希望し来院。インプラント患者さんのリピーターが増加しております。
下顎は6本のインプラント埋入し冠をセット。上顎残存歯は将来を考え全て抜歯。4本のインプラントを追加埋入し、全顎ブリッジをセット。この様なケースが増えています。
以前のインプラントはそのまま使用可能で冠だけをやり直す事になります。





症例12
58才 女性
知人からのご紹介で来院され、プロのオペラ歌手並みの歌唱力をお持ちの方です。 常に歯に不安感があるので今回思い切って治療に来たとのこと。人前で思う存分歌える様にしてあげたいと思い治療を引き受けました。
下顎前歯 321|123 以外は全て治療することになり、上顎6本、下顎6本のインプラント埋入しました。
上顎⑦⑥⑤4③21|1②3④ はセラミック(MB)ブリッジの冠をセットしました。





症例13
71才 女性
上顎は歯が4本残っており、義歯が入っていましたが、食べづらく、話しづらい。上顎の歯を2本だけ残し、インプラント7本埋入。
2本は即時加重が可能なインプラントにして治療期間の短縮を図りました。口元を若く見せるため、歯の配列を少し前に出しました。
その後姉妹の方を2人ご紹介いただき、同じようにインプラント治療をしました。



