お子様の定期検診

 

乳歯 正常

お子様の生えたばかりの乳歯や永久歯はもろく虫歯になりやすいです。

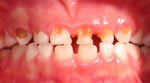
前歯 虫歯

0~3歳はまず歯医者に慣れてもらうところから始めます。
場所やスタッフに慣れてきたら、ブラッシングやフッ素と口の中に触れていきます。
フッ素は歯質強化と虫歯の抑制に効果的ですので定期的に塗布をお勧めします。
この頃は歯医者が嫌いにならないことが大切です。

奥歯 虫歯

自我が出る頃からイヤイヤが始まるので、ここからしっかり管理していかないと前歯や奥歯が次々と虫歯になってしまいます。
ブラッシングとフッ素がとても重要になってきます。

生え変わり

生え変わり(6歳頃~)の時期は乳歯と生えてきた永久歯の高さが違ったり、奥歯(6才臼歯)が生えてくるので歯ブラシが当てずらくなり虫歯になりやすくなります。
ブラッシング、フッ素に加え予防処置として歯の溝に薬をつめるシーラントも有効です。

シーラント
 

当医院の歯のクリーニングは基本的に担当制になっております。
担当した衛生士が責任を持って一人一人を受け持たせていただきます。