当医院では定期検診を推奨しています。 

小さなお子様から大人まで定期的にお口のケアをして管理しています。
 

年齢を重ねるにつれて歯周病のリスクは高くなっていきます。


 
 
軽度

歯垢や歯石が付着し、歯肉は赤く腫れます。
骨吸収の進行が始まります。
歯周ポケット 3~5㎜
2~3回のPMTCで改善されます。

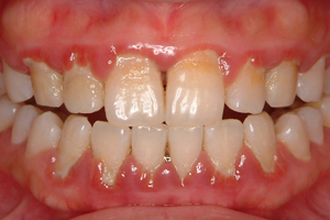
中度

正常な骨の位置より
 1/3~1/2 骨吸収が進行
歯周ポケット 4~7㎜
出血や排膿を伴い口臭も出ます。
数回のPMTCをして経過をみます。

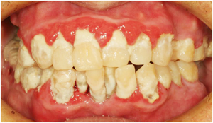
重度

骨吸収    1/2 以上
歯周ポケット 6mm以上
歯の動揺が著しくなります。
歯をお抜きするリスクが高まります。

正常

上記のような状態にならないように定期検診をして、
虫歯は早めに治し、健康なお口を維持していきましょう。