長い視点での矯正歯科治療を
矯正歯科治療は悪い咬み合わせ、あるいは問題のある咬み合わせを治療するだけでなく口の周りの機能や、より美しい口元に改善する歯科の一専門分野です。矯正歯科治療はここ数年のうちに格段の進歩を遂げており、ひと昔前はニッコリ笑うと金具がギッシリでイメージも非常に悪かったです。
しかし、今では治療に使われている装置は歯への負担も軽くなり、シンプルで色も目立ちにくく、かつ効率的に歯を移動できるようになりました。また、超弾性の形状記憶ワイヤーを用いているため以前と比べると痛みも軽減されています。
シンプル矯正
矯正治療に関心があっても矯正をする決断が出来ない理由として
① 治療期間が長い
② 治療費用が高い
というのがあると思います。
そこでそのような方のお役に立ちたいと思い、大阪まで研修に行きマスターしたのが一般歯科医が行なう“ シンプル矯正 ”です。
特徴
① 治療期間 8ヶ月~1年半
② 費用 30~60万
1999年より矯正治療を導入。
特に宣伝はしておりませんが、この期間と経済的にお得な特徴が好評で、矯正された患者様の紹介で多くの方に来て頂いております。
治療結果については症例写真をご覧下さい。
矯正歯科の専門家のようにはいきませんが、患者様には大変ご満足頂いております。
歯科医が考える完璧な審美性まで一般の方々は求めていない。
それよりも短期間で費用も安くを希望する方が多いことを再認識しました。
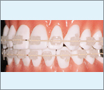
矯正装置について
矯正装置にはたくさんの装置があります。
一般的には、歯の表面に金属やセラミックの小さなブラケットをつけ、それに細いワイヤーを通して歯を動かす固定式の装置を使います。
その他に、プラスチック製の取り外し式の装置を使う方法や、
一般的には、歯の表面に金属やセラミックの小さなブラケットをつけ、それに細いワイヤーを通して歯を動かす固定式の装置を使います。
その他に、プラスチック製の取り外し式の装置を使う方法や、